Tissue-Tek SmartConnect®

Imaginez les possibilités de chargement de cassettes d’échantillons macroscopiques dans Tissue-Tek SmartConnect® et de déchargement de blocs enrobés. Gagnez en temps, concentrez-vous sur l’essentiel.

Pour une homogénéisation parfaite avec Tissue-Tek Genie®

Le nouveau système utilise uniquement des anticorps à score optimal, ce qui permet aux laboratoires de générer des lames à score optimal avec des résultats plus rapides et plus rationnels.

Nous sommes aux côtés des pathologistes

Chaque échantillon, bloc de tissu et lame révèle une histoire unique. Quand on attend les résultats, chaque jour, heure et minute compte.

Tissue-Tek Genie®</br>Système de coloration avancé

Le Tissue-Tek Genie® est le premier et le seul véritable système de coloration avancé entièrement automatisé à accès aléatoire pour l’immunohistochimie (IHC) et l’hybridation in situ (ISH).
Suite
Optimal et unique</br>Coloration avancée
Service d’implémentation

Découvrez le monde de Sakura

Notre plateforme centrale pour tout, depuis les idées de leadership éclairé, les communiqués de presse et l'écoute de ce que pensent nos clients. Directement de Sakura.

Every tissue has a story: bringing the patient into the heart of diagnostics

This article explores the tissue journey from the patient’s perspective, revealing how histopathology waiting times influence emotions, expectations and the overall diagnostic experience.

Sakura Finetek and Hamamatsu Photonics K.K.: Global Alliance Press Release

New global partnership between Sakura Finetek and Hamamatsu Photonics strengthens the digital pathology workflow from slide preparation to imaging.

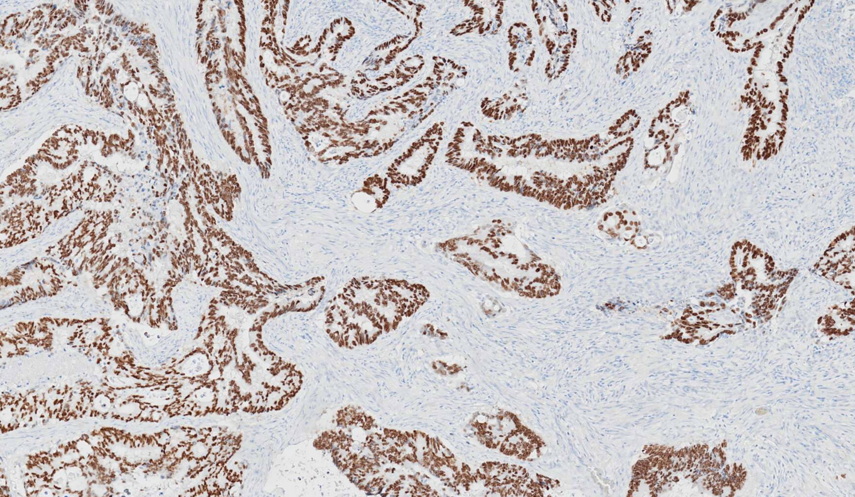
The diagnostic utility of Cadherin 17 (CDH17) in colorectal and gastric carcinomas

Explore how Cadherin 17 (CDH17) serves as a sensitive and specific diagnostic marker for colorectal, gastric and pancreatic carcinomas. Learn how CDH17 compares with CDX2 and CK20 in identifying gastrointestinal malignancies.

Utility of special AT-rich sequence-binding protein 2 (SATB2) in gastrointestinal tumour diagnostics

Learn how special AT-rich sequence-binding protein 2 (SATB2) supports accurate diagnosis of colorectal and other lower gastrointestinal tumours. Discover how SATB2 complements CDX2 to improve detection in Cancer of Unknown Primary (CUP) cases.

Un témoignage de Sakura Bridge

Des flux de travail de laboratoire rationalisés

"La formation était excellente. Ils ont été à l'écoute de nos besoins pour le département et de ce dont le personnel avait besoin."

Service de pathologie hôpital Whiston

Comment la SMART Automation a changé la vie au sein du laboratoire

L’impact du changement

"Le flux de travail continu de Sakura influence toutes les étapes de la vie du laboratoire. la SMART Automation augmente la vitesse et la capacité de traitement des échantillons. Quand vos professionnels l'utiliseront, ils verront les changements positifs sur leur travail. Plus sûr pour les patients, plus sûr pour les techniciens."

Antonio Martinez, M.D., PhD Chef de Service Hôpital de Barcelone

L'amélioration de la standardisation

La voie à suivre

Grâce à notre client Luigi Vanvitelli, nous avons maintenant la chance de voir et de partager comment la SMART Automation améliore l'efficacité et le flux de travail d'un laboratoire. Dans le premier témoignage italien, le professeur Renato Franco et le docteur Mario Nasti donnent leur point de vue inspirant.

Prof. Renato Franco & Dr Mario Nasti Chef de service & techniciens de laboratoire Université de Vanvitelli, Naples, Italie

Faites plus avec moins. Un labo plus efficace avec nos innovations.

La liberté de l'efficacité

Tous les ans: 60,000 cas, 150,000 cassettes et 450,000 lames. Avec seulement 16 employés. Cette année nous avons visité le laboratoire de pathologie humaine du Dr Weiß. Grâce à Sakura, il est devenu une référence en matière d'efficacité en histopathologie. Dr Weiß nous a partagé sa vision, sa mission et ses processus de laboratoire.

Dr Manfred Weiß Chef de service Laboratoire d'anatomopathologie Dr WeiB

Des flux de travail de laboratoire rationalisés

"La formation était excellente. Ils ont été à l'écoute de nos besoins pour le département et de ce dont le personnel avait besoin."

Service de pathologie hôpital Whiston

L’impact du changement

"Le flux de travail continu de Sakura influence toutes les étapes de la vie du laboratoire. la SMART Automation augmente la vitesse et la capacité de traitement des échantillons. Quand vos professionnels l'utiliseront, ils verront les changements positifs sur leur travail. Plus sûr pour les patients, plus sûr pour les techniciens."

Antonio Martinez, M.D., PhD Chef de Service Hôpital de Barcelone

Grâce à notre client Luigi Vanvitelli, nous avons maintenant la chance de voir et de partager comment la SMART Automation améliore l'efficacité et le flux de travail d'un laboratoire. Dans le premier témoignage italien, le professeur Renato Franco et le docteur Mario Nasti donnent leur point de vue inspirant.

Prof. Renato Franco & Dr Mario Nasti Chef de service & techniciens de laboratoire Université de Vanvitelli, Naples, Italie

La liberté de l'efficacité

Tous les ans: 60,000 cas, 150,000 cassettes et 450,000 lames. Avec seulement 16 employés. Cette année nous avons visité le laboratoire de pathologie humaine du Dr Weiß. Grâce à Sakura, il est devenu une référence en matière d'efficacité en histopathologie. Dr Weiß nous a partagé sa vision, sa mission et ses processus de laboratoire.

Dr Manfred Weiß Chef de service Laboratoire d'anatomopathologie Dr WeiB

Nous sommes là pour vous aider à faire votre travail de la manière la meilleure et la plus efficace possible.